【顶刊速递】《Nature》:利用患者iPSC构建疾病模型,研究首次直接证实抗PIT-1垂体炎中细胞毒性T细胞的攻击作用
时间:2025-10-23 阅读:533
使用人诱导多能干细胞来源的类器官模拟 T 细胞介导的自身免疫性垂体疾病
本研究首次为细胞毒性T细胞(CTL)直接驱动抗PIT-1垂体炎的发病机制提供了确凿证据。为解决HLA匹配的关键问题,研究人员利用诱导多能干细胞(iPSC)技术,构建了携带患者特定HLA单倍型的垂体类器官。当将这些类器官与患者来源的PIT-1反应性CTL共培养时,仅在自体条件下观察到了针对PIT-1阳性垂体细胞的特异性杀伤,且该细胞毒性可被免疫抑制剂(如地塞米松和环孢素A)所抑制。
研究还发现该疾病的致病机制涉及多种表位、CTL克隆和HLA分子组合。这项工作不仅证实了CTL介导的自身免疫是抗PIT-1垂体炎的致病核心,也为研究其他T细胞介导的自身免疫病提供了可推广的新策略。
1. 研究背景与问题提出
① 疾病定义:抗PIT-1垂体炎是一种特殊的自身免疫性垂体炎,特征为获得性GH、TSH、PRL缺乏,并与表达PIT-1的恶性肿瘤相关。
② 核心假设:疾病由针对PIT-1的自身免疫导致,其机制被认为是T细胞介导的免疫,而非自身抗体。
③ 现存挑战:
直接证据缺乏:虽然怀疑细胞毒性T细胞(CTL)是元凶,但缺乏直接的功能性证据。
模型瓶颈:动物模型无法完美匹配人类特有的HLA单倍型,而HLA是T细胞抗原识别的关键,这限制了疾病机制的精准研究。
技术机遇:iPSC技术能够生成携带患者特定HLA背景的靶细胞(如垂体细胞),为在自体环境下研究自身免疫提供了独特平台。
2. 研究核心目标
① 首要目标:直接证实PIT-1特异性CTL在抗PIT-1垂体炎中的致病作用。
② 技术目标:利用患者来源的iPSC,建立一种能再现疾病关键特征的体外人类疾病模型。
③ 机制目标:鉴定导致该疾病的特定T细胞受体(TCR)、表位和HLA组合。
④ 应用目标:利用该模型进行治疗药物的测试与评估。
3. 研究方案与技术路线
① 模型构建:
靶细胞端:从患者获取体细胞,重编程为iPSC,并将其定向分化为垂体类器官(表达PIT-1的靶细胞)。
免疫攻击端:从同一患者的外周血中分离出PIT-1反应性CTL。
② 机制验证:
设置异体HLA不匹配的对照组,以证明杀伤的特异性。
观察是否仅在与自体CTL共培养时,出现PIT-1阳性细胞的特异性损伤。
共培养实验:将自体iPSC来源的垂体类器官与自体的PIT-1反应性CTL进行共培养。
特异性验证:
干预验证:加入免疫抑制剂(如地塞米松、环孢素A),观察是否能抑制CTL的细胞毒性。
③ 深度解析:
鉴定被CTL所识别的具体PIT-1表位。
分析参与该过程的T细胞受体(TCR) 序列。
明确提呈这些表位的HLA分子类型。
得出结论:该疾病是由多种TCR-表位-HLA组合共同驱动的。
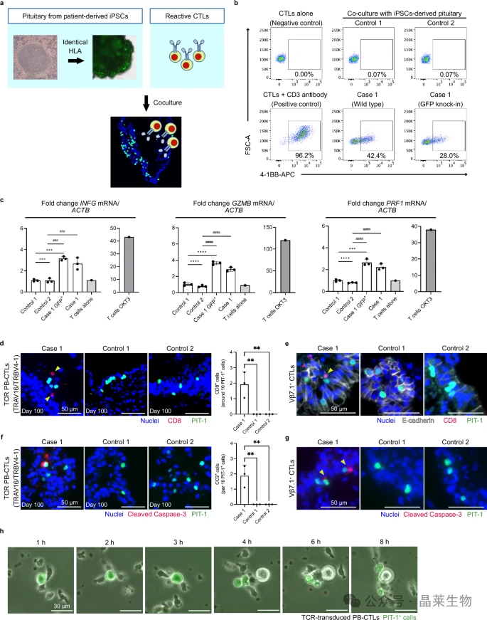
1. 抗 PIT-1 垂体炎患者的反应性 CTL 和 TCR 分离
本研究从患者体内分离出了致病性的PIT-1反应性CTL,并精确地鉴定出其识别的抗原表位(位于OP30区域内)以及负责此次识别和攻击的关键TCR(TRAV4/TRBV7-1),为深入理解该自身免疫病的机制及潜在的特异性治疗奠定了基础。
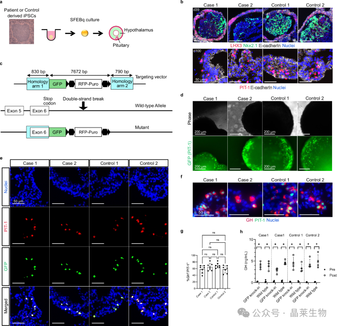
2. 从患者来源的诱导多能干细胞(iPSC)中再生功能性表达PIT-1的垂体细胞
① 成功分化与特异性标志物表达:使用SFEBq方法,iPSC可有效分化为垂体细胞。这些细胞在分化过程中正确表达了垂体祖细胞标志物(如LHX3/2、E-钙粘蛋白),并最终分化出表达PIT-1(垂体特异性转录因子)的细胞。
② 基因编辑报告系统验证:通过CRISPR-Cas9技术将GFP报告基因精准敲入PIT-1基因位点,构建了PIT-1GFP 报告细胞系。这使得我们能够直观地追踪和定位活的PIT-1阳性细胞,这些细胞主要位于类器官的外层。
③ 激素生成功能证实:免疫荧光染色显示,分化的PIT-1阳性细胞能够进一步成熟,并产生垂体激素,如生长激素(GH)。定量分析表明,大部分PIT-1阳性细胞同时表达GH。
④ 功能性分泌验证:最关键的功能性实验证明,这些垂体类器官能够向培养上清液中基础分泌GH。更重要的是,在受到下丘脑释放激素(GHRH)的刺激后,类器官的GH分泌量显著增加,这充分证明了其具备生理水平的激素合成与受调控分泌功能。
3. 共培养iPSC衍生的垂体类器官和反应性CTL
此部分研究成功地在体外重现了抗PIT-1垂体炎的自身免疫攻击场景,从激活、浸润到最终杀伤,完整地证明了患者来源的PIT-1反应性CTL是导致垂体细胞损伤的直接执行者。这为该疾病的T细胞介导发病机制提供了毋庸置疑的直接证据。
① CTL的特异性激活:
仅在自体共培养(患者CTL + 患者iPSC垂体类器官)中观察到反应性CTL被激活(通过4-1BB表达证实)。
在异体共培养中则无此现象,证明了免疫识别的HLA限制性。
② 细胞毒性分子表达上调:
qRT-PCR分析显示,仅在自体条件下,CTL的关键效应分子基因(IFN-γ, 颗粒酶B, 穿孔素-1)表达显著上调,表明CTL进入了功能性的杀伤状态。
③ CTL的浸润与靶向聚集:
免疫荧光显示,CTL能够特异性浸润到自体垂体类器官中,并紧密聚集在PIT-1阳性细胞周围。
④ 靶向细胞凋亡的直接观察:
发现PIT-1阳性细胞与凋亡标志物裂解的Caspase-3 共定位,且仅出现在自体条件下,证明PIT-1阳性细胞正在被特异性诱导凋亡。
延时成像提供了最直观的动态证据:可清晰地看到CTL主动追踪、接触并最终导致PIT-1阳性细胞碎裂死亡的整个过程。
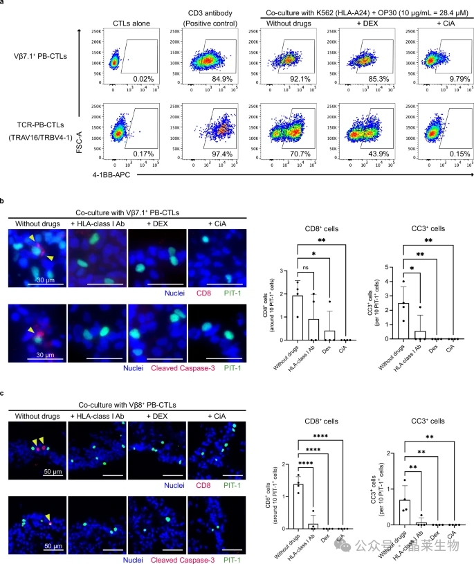
4. 确认 PIT-1 反应性 CTL 激活的 HLA 限制并寻求潜在的治疗策略
① 确认了疾病相关的特定HLA分子
病例1:通过基因过表达、四聚体结合和抗体阻断实验,共同证实其PIT-1反应性CTL(Vβ7.1 CTL及其TCR克隆TRAV16/TRBV4-1)的识别严格受 HLA-A*24:02 分子的限制。
病例2:实验确定其PIT-1反应性CTL(Vβ8 CTL)的识别则受 HLA-A*02:01 分子的限制。
这表明,尽管患有同一种疾病(抗PIT-1垂体炎),但不同患者体内的自身免疫反应可能由不同的HLA分子所主导。
② 提供了多维度的确凿证据
功能性激活实验:只有在同时提供PIT-1抗原(OP30肽)和相应HLA分子(如HLA-A*24:02)的靶细胞存在时,CTL才会被强烈激活。
直接结合证据:使用HLA-A*24:02四聚体技术,直接观察到病例1的CTL能够特异性结合由该HLA分子呈递的PIT-1抗原,这是T细胞抗原特异性的“金标准”证明。
抗体阻断实验:加入抗HLA I类抗体可以剂量依赖性地抑制CTL的激活,从功能上反向证明了其激活绝对依赖于HLA I类分子。
5. 抗PIT-1垂体炎的治疗筛查模型
① 药物有效抑制CTL功能:
在CTL与靶细胞共培养的体系中,加入地塞米松(Dex)、环孢素A(CsA) 或抗HLA I类抗体,均能显著降低CTL的激活水平(通过4-1BB表达评估)。
② 药物有效阻止CTL的浸润与杀伤:
阻止CTL浸润:显著减少了CTL向垂体类器官内部的迁移和聚集。
抑制细胞凋亡:显著降低了垂体类器官中PIT-1阳性细胞的凋亡(通过裂解的Caspase-3信号减弱证实)。
在iPSC垂体类器官与自体CTL的共培养模型中,这些药物同样显示出强大的保护作用:
③ 疗效比较与潜在意义:
抗HLA I类抗体表现出最强的抑制效果,这与其直接阻断抗原提呈这一初始环节的作用机制相符。
经典的免疫抑制剂地塞米松和环孢素A也被证明有效,这为使用现有药物治疗该疾病提供了实验支持。
总结:
本研究成功地建立了一种针对抗PIT-1垂体炎的创新型人类iPSC疾病模型。该模型的核心突破在于,首次将患者来源的iPSC(用于生成靶组织) 与从同一患者体内分离出的致病性细胞毒性T细胞(CTL) 相结合,在严格自体HLA匹配的条件下,完整地重现了T细胞介导的自身免疫攻击全过程。
【参考文献】
Modeling of T cell-mediated autoimmune pituitary disease using human induced pluripotent stem cell-originated organoid. Keitaro Kanie, Takeshi Ito, Genzo Iguchi, Ryusaku Matsumoto, Keiko Muguruma, Shin Urai, Shuichi Kitayama, Hironori Bando, Masaaki Yamamoto, Hidenori Fukuoka, Wataru Ogawa, Shin Kaneko & Yutaka Takahashi .Nature Communications volume 16, Article number: 7900 (2025)
关于晶莱















