
时间:2021-09-26浏览次数:11834
Masson染色简介:
油红O脂肪染色法是指在日常病理诊断和科研工作中为了显示组织内的脂肪常采用油红O进行染色的方法,油红O为脂溶性染料,在脂肪内能高度溶解,可特异性的使组织内甘油三酯等中性脂肪着色。
Masson染色实验意义:
(1)可用于器官硬化性疾病的观察:如肝硬变、心肌瘢痕的观察,胶原染色更易于观察诊断。
(2)可用于瘢痕与淀粉样物质鉴别:前者胶原纤维染色为阳性,后者为阴性。
(3)可用于骨纤维异常增殖病与骨纤维化的鉴别:利用胶原纤维染色可较易观察前者胶原纤维紊乱,纵横交错,后者较规则。
实验步骤:
(1)烘片。
(2)二甲苯脱蜡。
(3)梯度酒精水化。
(4)苏木素浸染、盐酸酒精分化、丽春红染色。
(5)二甲苯透明。
(6)梯度酒精脱水。
(7)苯.胺蓝染液浸染、0.2%冰.醋.酸水溶液浸洗。
(8)2%冰.醋.酸水溶液浸洗,1%磷.钼.酸水溶液分化。
(9)中性树胶封固。
(10)完成。
实验结果:
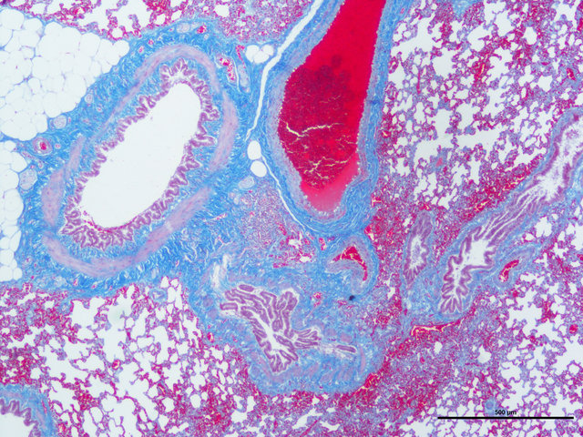
胶原纤维呈蓝色;胞质、肌纤维、红细胞呈红色;胞核黑蓝色。
实验技巧:
(1)控制好染色步骤。
(2)组织固定起着很重要的作用,根据不同的固定液可延长或缩短染色时间。
(3)0.2%冰.醋.酸水溶液洗,可使色调清晰鲜艳。
(4)磷钼酸水溶液对丽春红、酸性复红有分化作用,分化时镜下控制, 肌纤维和纤维素呈红色,胶原纤维呈淡粉红色即可。
晶莱生物病理类实验服务总览表
| 类别 | 服务项目 | 备注 | 说明 |
| 制 片 前 处 理 | 石蜡包埋 | 包埋1块 | 固定后组织按客户要求取材,脱水,包埋成蜡块(进口石蜡) |
| 特殊包埋(细胞、材料、眼球等) | 包埋1块 | 包埋要求难度较高(含特殊位置取材) | |
| 石蜡组织芯片 | 阵列点位包埋 | 客户提供供体蜡块及标本信息 | |
| 软化(肝硬化、皮肤结痂、植物等) | 1块标本软化 | 较为坚硬组织软化处理 | |
| 骨组织脱钙(小) | 1块标本脱钙 | 最大面≤2cm²骨组织脱钙 | |
| 骨组织脱钙(大) | 1块标本脱钙 | 最大面>2cm²骨组织脱钙 | |
| 骨组织EDTA脱钙(小) | 1块标本脱钙 | 最大面≤2cm²骨组织EDTA脱钙 | |
| 骨组织EDTA脱钙(大) | 1块标本脱钙 | 最大面>2cm²骨组织EDTA脱钙 | |
| 石蜡白片 | 石蜡白片1片 | 组织防脱载玻片石蜡白片 | |
| 冰冻组织制备 | 冰冻包埋及前处理 | 4%多.聚.甲.醛固定的组织或OCT包裹的新鲜组织(-80℃或液氮内保存,干冰运输) | |
| 冰冻切片 | 冰冻组织切片1片 | 同一组织连续切片3张以上免制备费 | |
| 染 色 | HE染色 | 染色含切片 | 苏木.精-伊红染色法,观察组织形态 |
| 油红O染色 | 染色含冰冻切片 | 4%多.聚.甲.醛固定,冰冻切片。对组织内脂质(如脂滴)染色 | |
| 番红O固绿染色 | 染色含切片 | 常用于植物、软骨组织形态染色 | |
| Masson染色 | 染色含切片 | 观察组织纤维化和肌纤维的鉴别及组织纤维化程度 | |
| 天狼猩红染色 | 染色含切片 | 观察组织纤维化程度,及偏振光进行胶原亚型的分区 | |
| PAS糖原染色 | 染色含切片 | 观察肝脏、肌肉等组织内糖原的变化;肠胃肺支气管等杯状细胞酸性粘液物质变化 | |
| 阿利新蓝染色 | 染色含切片 | 常用于软骨组织或早幼粒细胞、巨核细胞染色 | |
| 甲苯.胺蓝染色 | 染色含切片 | 观察软骨组织形态或组织内肥大细胞的数量及分布 | |
| 尼氏染色 | 染色含切片 | 观察脑或脊髓等中枢神经系统内神经元尼氏体的变化 | |
| LFB髓鞘染色 | 染色含切片 | 观察神经髓鞘的形态及变化 | |
| 普鲁士蓝染色 | 染色含切片 | 常用于吞噬细胞内铁粒子的含量和定位 | |
| VG染色 | 染色含切片 | 显示组织胶原纤维及肌纤维的形态及变化 | |
| EVG染色 | 染色含切片 | 观察血管弹性纤维的形态及变化 | |
| VonKossa染色 | 染色含切片 | 观察组织内病理性钙沉积情况 | |
| 刚果红染色 | 染色含切片 | 一般用于组织淀粉样变染色 | |
| 维多利亚蓝染色 | 染色含切片 | 用于弹力纤维染色 | |
| 免疫 组化 | 免疫组化预式 | 染色含切片 | 试两个一抗浓度后拍照 |
| 免疫组化正式 | 染色含切片 | 客户提供一抗,常用二抗公司提供 | |
| 免疫组化芯片 | 染色含切片 | 免疫组化组织芯片染色 | |
| 免疫荧光(石蜡-单标) | 染色含切片和拍照 | 需实验前商定拍照倍数及视野 | |
| 免疫荧光(石蜡-双标) | 染色含切片和拍照 | 需实验前商定拍照倍数及视野 | |
| 免疫荧光(冰冻-单标) | 染色含冰冻切片和拍照 | 需实验前商定拍照倍数及视野 | |
| 免疫荧光(冰冻-双标) | 染色含冰冻切片和拍照 | 需实验前商定拍照倍数及视野 | |
| 抗体代购 | 详情请咨询工作人员 | ||
| Tunel | Tunel(POD自带试剂盒) | 染色含切片 | 细胞凋亡染色,客户需提供Tunel试剂盒 |
| Tunel(公司提供试剂盒) | 细胞凋亡染色,公司提供罗氏POD Tunel试剂盒 | ||
| 凋亡试剂盒代购 | 染色含切片 | 详情请咨询工作人员 |
晶莱病理实验室:北京实验室;长沙实验室;提前预约免费上门取样!
更多病理学实验服务内容详情请咨询晶莱生物!
样片参考:






晶莱服务流程
收费标准/服务周期/提供结果:
欢迎咨询详谈,我们会根据您的方案及需求制定详细的服务协议。
更多实验技术服务请浏览网站其他内容,或来电咨询!
做实验,找晶莱!您的科研生涯,我们一路相伴!
【平台项目开展范围】慢病毒,腺病毒,RNAi类,分子生物实验,病理实验,免疫学实验,细胞实验,动物实验,蛋白组学实验,芯片类实验,并为广大客户朋友们提供课题设计指导、基金申请指导等服务。
上一篇:番红O固绿染色实验服务
