
时间:2021-09-26浏览次数:5493
TUNEL凋亡显色法
TUNEL(TdT-mediated dUTP Nick-End Labeling)法检测细胞凋亡的原理是当细胞发生凋亡时,DNA内切酶被激活,核小体间的基因组DNA被切断,暴露的3'-OH可以在末端脱氧核苷酸转移酶(Terminal Deoxynucleotidyl Transferase, TdT)加上带有生物素(Biotin)标记的dUTP即Biotin-dUTP,随后于辣根过氧化物酶(HRP)标记的streptavidin结合,在HRP的催化下通过DAB显色来显示凋亡细胞,从而可以通过普通光学显微镜检测到细胞凋亡。
实验意义
1. TUNEL法是一种分子生物学与形态学相结合的研究方法,可对完整的单个凋亡细胞或者凋亡小体进行原位染色,可以准确反映细胞凋亡最典型的生物化学和形态特征。
2. 可用于石蜡切片、冰冻切片、培养的细胞等进行细胞凋亡检测,灵敏度远比一般的组织化学和生物化学方法要高。
3. 操作简便快捷,在细胞凋亡的研究中被广泛采用。
实验步骤
1.石蜡切片TUNEL显色法:
①石蜡切片常规脱蜡至水,脱蜡剂二甲苯,至水剂乙醇;
②PBS漂洗3×5 min;
③加入蛋白酶K工作液37℃反应15-30 min, PBS漂洗3×5 min;
④4%多.聚.甲.醛(pH7.4的PBS)室温固定15-30 min,PBS漂洗3×5 min;
⑤浸入封闭液(3%H2O2)室温封闭10 min,PBS漂洗3×5 min;
⑥加入适量TdT酶反应液,暗湿盒中37℃反应1 h,用SSC室温15 min终止反应后,PBS漂洗3×5 min;
⑦浸入0.3% H2O2封闭内源性过氧化物酶活性,室温孵育3-5 min,PBS漂洗3×5 min;
⑧滴加Streptavidin-HRP工作液,37℃反应30-60 min,PBS漂洗3×5 min;
⑨滴加DAB显色液后用去离子水漂洗数次;
⑩选择是否用DAPI复染细胞核;
?脱水、透明、中性树胶封片后进行观察。
2.冰冻切片TUNEL显色法:
①新鲜组织经处理后,立即在恒冷冰冻切片机内切片,厚度为5~6 μm;
②防脱玻片,贴片,室温阴干约12 h;
③4%多.聚.甲.醛(pH7.4的PBS)室温固定10 min,PBS漂洗3×5 min;
④浸入封闭液(3%H2O2)室温封闭10 min,PBS漂洗3×5 min;
⑤浸入通透液(0.1%Triton X-100溶于PBS中),室温通透30 S-2 min;
⑥加入适量TdT酶反应液,暗湿盒中37℃反应1 h,用SSC室温15 min终止反应后,PBS漂洗3×5 min;
⑦浸入0.3% H2O2封闭内源性过氧化物酶活性,室温孵育3-5 min,PBS漂洗3×5 min;
⑧滴加Streptavidin-HRP工作液,37℃反应30-60 min,PBS漂洗3×5 min;
⑨滴加DAB显色液后用去离子水漂洗数次;
⑩选择是否用DAPI复染细胞核;
?脱水、透明、中性树胶封片后进行观察。
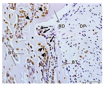
结果展示

实验完成周期及交付标准
1. 实验周期:1-2周
2. 交付标准:蜡块、切片、染色图片、实验报告(实验步骤、试剂、耗材等)
需确认的信息
1. 样本的种属
2. 样本的类型(固定的组织or蜡块or切片)
3. 是否提供试剂盒
4. 拍照要求
参考文献
[1] Bing L , Ying-Jie X , Xian-Ming C , et al. Molecular mechanism of inhibitory effects of CD59 gene on atherosclerosis in ApoE (-/-) mice[J]. Immunology Letters, 2013, 156(1-2):68-81.
[2] Ozimati A A . Immunodetection of Smad-4 in developing molar roots of alendronate-treated rats[J]. Archives of Oral Biology, 2013, 58(11):1744-1750.
收费标准/服务周期/提供结果:
欢迎咨询详谈,我们会根据您的方案及需求制定详细的服务协议。
更多实验技术服务请浏览网站其他内容,或来电咨询!
晶莱实验服务流程
晶莱生物实验服务项目
| 动物实验 | 细胞生物学 | 病理实验 |
| 消化系统模型 | 细胞培养 | 病理染色 |
| 胃酸分泌模型 | 普通细胞株 | HE染色 |
| 脓毒症模型 | 细胞缺氧培养 | 油红O染色 |
| 胃溃疡模型 | 细胞培养+支架 | 番红固绿染色 |
| 胰腺炎模型 | 干细胞培养 | Masson染色 |
| 肝纤维化模型 | 原代细胞分离/提取/培养 | 天狼猩红染色 |
| DIO肥胖模型 | 细胞转染/病毒感染 | PAS糖原染色 |
| 胆结石模型 | Trans well共培养 | 阿利新蓝染色 |
| 结肠炎(UC)模型 | 细胞增殖 | 甲苯胺蓝染色 |
| 脂肪肝模型 | 细胞计数 | 尼氏染色 |
| 急性肝损伤模型 | 生长曲线测定 | LFB髓鞘染色 |
| 免疫、代谢系统疾病模型 | 存活曲线测定 | 普鲁士蓝染色 |
| 骨质疏松模型 | ccK-8增殖检测 | VG染色 |
| 糖尿病模型 | MTT增殖检测 | EVG染色 |
| 高尿酸血症模型 | CFSE检测增殖-流式检测 | VonKossa染色 |
| 呼吸系统模型 | BrDU检测-免疫荧光法 | 刚果红染色 |
| 肺纤维化模型 | 细胞凋亡 | 苏丹黑B染色 |
| 慢性肺阻塞模型 | Annexin V/PI流式检测细胞凋亡 | Trap染色 |
| 急性肺损伤模型 | WB检测凋亡相关蛋白 | 抗酸染色 |
| 哮喘模型 | 透射电镜观察凋亡小体 | 革兰氏染色 |
| 肺栓塞模型 | Tunel染色(POD法,DAB显色) | AB-PAS染色 |
| 支气管炎模型 | Tunel(荧光法,含试剂盒) | 亚甲基蓝染色 |
| 泌尿生殖系统模型 | DNA ladder法 | 苯胺蓝染色 |
| 慢性肾衰模型 | 细胞周期 | 荧光 DAPI染色 |
| 急性肾衰模型 | 细胞显微计数 | 普鲁士蓝染色 |
| 肾间质纤维化模型 | PI染色 | 间苯二酚碱性品红染色 |
| 肾结石模型 | BrdU渗入法 | 银染 |
| 肾炎模型 | 免疫荧光染色 | 黑色素染色 |
| 子宫内膜异位症模型 | PI流式检测细胞周期 | 镀银染色 |
| 心血管系统模型 | 细胞运动 | PASM 六胺银染色 |
| 冠心病模型 | Transwell检测细胞迁移 | VG染色 |
| 心肌梗死模型 | Transwell检测细胞侵袭 | 富尔根染色 |
| 心脏骤停模型 | 细胞划痕 | 亚甲基蓝染色 |
| 慢性心力衰竭模型 | 细胞克隆 | 碘-碘化钾染色 |
| 动脉粥样硬化模型 | 集落形成法/稀释铺板方法 | Goldner三色法染色 |
| 白血病模型 | 软琼脂克隆法 | PAS-萘酚磺S染色 |
| 高血压模型 | 毛细管克隆法 | 改良苯酚品红染色 |
| 神经系统模型 | 体外实验血管生成 | 网状纤维染色 |
| 脑卒中模型 | 磁珠分选细胞 | β-半乳糖苷酶染色 |
| 栓塞性脑梗死模型 | 流式分选细胞 | 镀银染色 |
| 脑出血模型 | 开机费 | movat五色染色 |
| 脑损伤模型 | 单色 | 维多利亚蓝染色 |
| 脊髓损伤模型 | 双色 | 免疫组化 |
| 帕金森模型 | CBA多细胞因子流式检测 | 免疫组化预式 |
| 老年痴呆模型 | 组织/血液细胞制备 | 免疫组化正式 |
| 应激模型 | 组织单细胞制备 | 免疫荧光(石蜡-单标) |
| 骨骼疾病模型 | 中性粒细胞提取 | 免疫荧光(石蜡-双标) |
| 骨折模型 | 其他样本细胞制备(如血液等) | 免疫荧光(石蜡-三标) |
| 骨缺损模型 | 外周血PBMC分离 | 免疫荧光(冰冻-单标) |
| 风湿免疫性关节炎模型 | 线粒体组学 | 免疫荧光(冰冻-双标) |
| 骨关节炎模型 | 线粒体膜电位检测-流式法 | 制片前处理 |
| 五官疾病模型 | 线粒体膜电位检测-免疫荧光法 | 石蜡组织包埋 |
| 眼科疾病模型 | 线粒体ROS生物含量检测--流式 | 特殊包埋(细胞、材料、眼球等) |
| 鼻腔疾病模型 | 线粒体ROS生物含量检测--免疫荧光 | 软化(肝硬化、皮肤结痂、植物等) |
| 皮肤疾病模型 | 线粒体通透性转换孔(mPTP) | 骨组织脱钙(小) |
| 皮肤损伤模型 | 溶酶体免疫荧光法 | 骨组织脱钙(大) |
| 肿瘤疾病模型 | 线粒体+溶酶体共定位 | 骨组织EDTA脱钙(小) |
| 原位瘤模型 | 内质网 | 骨组织EDTA脱钙(大) |
| 转移瘤模型 | 线粒体钙瞬时变化检测-流式 | 石蜡白片 |
| 皮下植瘤模型 | ATP检测 | 细胞爬片 |
| ADP检测 | ||
| AMP检测 | ||
| 流式 | DNA/RNA半定量检测 | 基因编辑工具 |
| 组织细胞悬液处理 | pcr检测mRNA | 合成(3保1)片段/质粒/引物合成 |
| 细胞处理 | microRNA检测 | 质粒载体构建 |
| 血液标本处理 | LncRNA表达量的检测 | 过表达腺病毒载体构建包装 |
| 细胞刺激培养 | CirRNA表达量的检测 | shRNA腺病毒载体构建包装 |
| 单色检测 | 凝胶电泳 | 过表达慢病毒载体构建包装 |
| 双色检测 | 基因合成 | shRNA慢病毒载体构建包装 |
| Annexin V/PI凋亡 | <300 | 过表达腺相关病毒载体构建包装 |
| 细胞周期 | 300-1,500 | shRNA腺病毒载体构建包装 |
| 1500 - 5000 | 稳转细胞株 | |
| >5000 | ||
| 特殊序列 | ||
| ELISA | WB | qPCR |
| 组织匀浆处理 | 蛋白提取及定量一 | RNA抽提 |
| ELISA(不含试剂盒)48T/kit | WB检测一(10孔膜/指标) | mRNA引物设计及合成 |
| ELISA(不含试剂盒)96T/kit | 灰度值分析及作图一(10孔膜/指标) | miRNA引物设计及合成 |
| ELISA(含国产试剂盒)48T/kit | 蛋白提取及定量二 | LncRNA引物设计及合成 |
| ELISA(含国产试剂盒)96T/kit | WB检测二(10孔膜/指标) | CircRNA引物设计及合成 |
| 灰度值分析及作图二(10孔膜/指标) | mRNA RT-qPCR | |
| miRNA RT-qPCR | ||
| LncRNA RT-qPCR | ||
| CircRNA RT-qPCR |
做实验,找晶莱!您的科研生涯,我们一路相伴!
【平台项目开展范围】慢病毒,腺病毒,RNAi类,分子生物实验,病理实验,免疫学实验,细胞实验,动物实验,蛋白组学实验,芯片类实验,并为广大客户朋友们提供课题设计指导、基金申请指导等服务。
